Disorders

What is the Macular Hole?

The macular hole is an ocular disease that affects the macula. It consists of the presence of an opening in the macula, which is the central area of ​​the retina, responsible for most of the vision (eg, reading or recognizing a face). Although it is not a disease that we can prevent, we can detect it in the early stages.


What is the cause?

With age, or in some cases, due to trauma, the vitreous humor (a gelatinous structure that occupies about 80% of the content of the eyeball) contracts and separates from the macula. In some cases, this dynamic traction process can lead to avulsion of the retinal tissue, forming a hole in the fovea (central area of ​​the macula). Some people are at greater risk of suffering from this disease: the myopes with more than 6 diopters and after a blunt trauma. Patients with a macular hole in one eye have a greater risk of developing it in the contralateral eye (10-15%).


What are the symptoms?

Initially, the symptoms may produce some distortion of the image. If it progresses, a "black spot" ends up appearing on the central axis of the vision.


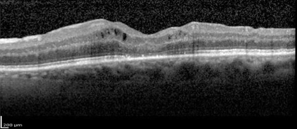
How is the diagnosis made?

The macular hole is diagnosed by the ophthalmologist, after the examination of the ocular fundus and an optical coherence tomography (OCT). This test confirms the diagnosis and provides additional anatomical details. Visual recovery will always be better the earlier this pathology is diagnosed and treated.

Prof. Marco Dutra Medeiros - Macular hole

Treatment

The Macular Hole is treated through a retinal surgery called vitrectomy.

This surgical procedure has a good prognosis, since more than 90% of the cases end up closing. It consists of extraction of the vitreous humor and removal of a membrane (10 times thinner than the thickness of a hair) called the internal limiting membrane. At the end of the surgery, a gas bubble is introduced into the eye. During the postoperative period, the patient should maintain the upside down position for several days to optimize the anatomical closure of the Macular Hole.

Make your online request here.

1st Consultation - € 85 and following € 80

Genetic Consultation - €90 (Private only)

See our Agreements and Partnerships!

Please note, your browser is out of date.
For a good browsing experience we recommend using the latest version of Chrome, Firefox, Safari, Opera or Internet Explorer.